
Lower Eyelid Blepharoplasty is designed to remove the "bags" in the lower eyelid region. Dr. Vrcek offers transconjunctival "incisionless" lower eyelid blepharoplasty in which no skin incisions are required. Rather, the "bags" are accessed via the mucous membrane on the inside of the eyelid. Dr. Vrcek also offers Transposition Lower Eyelid Blepharoplasty--the most modern technique that achieves ideal results in many cases.
In cases where excess skin is to be treated, this skin can either be carefully removed or treated with laser resurfacing or chemical peel.
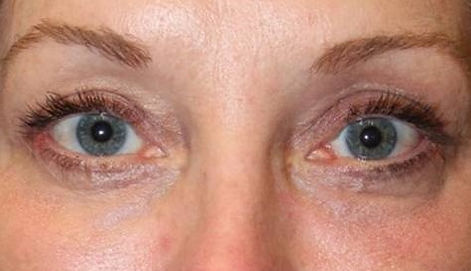
Below are several patients of Dr. Vrcek who underwent lower eyelid blepharoplasty.

This patient was unhappy about the way her upper and lower eyelids made her appear tired and somewhat unhappy. She underwent upper and lower eyelid blepharoplasty with chemical peel and is very happy with the results.

Before
After

After

Before
This patient is a 40-50 year old woman who felt that her eyelids made her look "tired" and older than her actual age. It was very important to her to not have the shape of her eye changed--she wanted to look like herself, just younger and more refreshed. She underwent upper and lower eyelid blepharoplasty with resurfacing. This after photo is taken at just 6 weeks after surgery.

This patient wanted to improve the heaviness in her upper eyelids as well as the bags and puffiness in her lower eyelids. She is thrilled with her results following upper and lower blepharoplasty.


This patient wanted to improve the bags in her lower eyelids as well as the dark cirlces beneath. She did very well with transposition lower blepharoplasty. In this procedure, we use the patient's own tissue to fill the "valley" or dark circle area beneath the bag. It is similar to fillers (like Restylane) but uses the patient's own, natural, tissue.


This patient wanted to improve both his droopy upper eyelids and the bags and wrinkles in his lower eyelids. He is thrilled with the results, pictured here 2 months after surgery.

This patient was tired of the bags under her eyes as well as the crepey skin changes. She underwent upper and lower blepharoplasty with chemical peel and was very pleased with the natural results.
Learn More About Lower Blepharoplasty
Also known as an eye lift, eyelid lift, eye plastic surgery or surgery to remove lower eyelid bags, lower eyelid blepharoplasty is a very effective way to improve the appearance of the area around the eyes. Dr. Vrcek offers a customized approach that focuses on each patient’s unique anatomy and goals to achieve beautiful, natural outcomes.
​
In most cases, the eyelid “bags” can be removed using a hidden incision inside the eyelid near the eyeball. This avoids any skin incision and allows for more rapid recovery. Dr. Vrcek is pleased to offer transposition lower blepharoplasty (also known as fat repositioning). This advanced technique uses the eyelid fat that is forming the “bag” to fill areas of relative depression or hollowness in the eyelid-cheek junction. In fact, Dr. Vrcek has presented his techniques for lower blepharoplasty at national and international meetings including the American Academy of Cosmetic Surgery.